Complete Smile Renewal for a Life Full of Confidence.

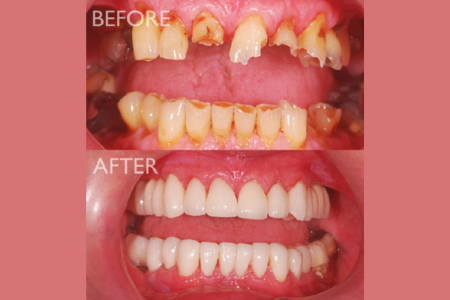
Full mouth rehabilitation is a comprehensive dental treatment approach that addresses complex oral health issues and restores the functionality and aesthetics of a patient’s entire mouth.

This highly specialized procedure is recommended for individuals suffering from multiple dental problems like :

• Missing teeth
• Extensive decay
• Worn-down enamel
• Bite alignment issues
• Jaw joint disorders

The process involves a thorough assessment, personalized treatment planning, and a combination of restorative and cosmetic dentistry techniques, such as dental implants, crowns, bridges, veneers, and orthodontics.

Full mouth rehabilitation aims to improve oral health, enhance the appearance of the smile, and ultimately provide patients with a comfortable and fully functional mouth.

Frequently Asked Questions

The duration of full mouth rehabilitation varies depending on the complexity of the case and the treatments involved. It can range from several months to over a year.

The procedure is usually done under anesthesia, making it comfortable with minimal pain during recovery.

Yes, it can include treatments like veneers or crowns to enhance tooth color.

contact now

Get Professional Consultation

DENTOkraft, 1st floor, Sneh Symphony , Laxman Nagar,baner, Pune, Maharashtra-411045

(+91) 9926426422

drdentokraft@gmail.com

Mon to Sat 9:00AM to 8:00PM